27-Year-Old Demands MRI, Told He Has ‘Days to Live’ After Doctors Dismissed Brain Tumor Symptoms for 10 Years
NEED TO KNOW
-
Luke Taylor experienced debilitating headaches for 10 years before being diagnosed with a rare brain tumor
-
He needed emergency surgery because the tumor had grown to the size of a golf ball
-
Taylor and his partner are now raising money for the Brain Tumour Charity, which supports people impacted by brain tumors
A young dad was told he had just days to live after doctors spent a decade dismissing his symptoms.
Luke Taylor — a 27-year-old civil engineer from Warrington, England — endured severe headaches for 10 years. They were so bad that he would experience nausea and vomiting for days on end. He went to his general practitioner multiple times but was told that they were “just migraines” and he was a “healthy” young man.
However, Taylor’s condition worsened in July 2025. During another doctor’s visit, he demanded an MRI and that his symptoms be taken seriously.
Luke Taylor in the hospital
Credit: Nia Jones via SWNS
“I was fed up with my headaches. They were getting worse and worse, I wanted to cry from the pain,” he told Southwest News Service. “They told me I was having really bad migraines, but that didn’t make sense. I was being sick, I was in severe pain, and I said I wanted to have an MRI scan.”

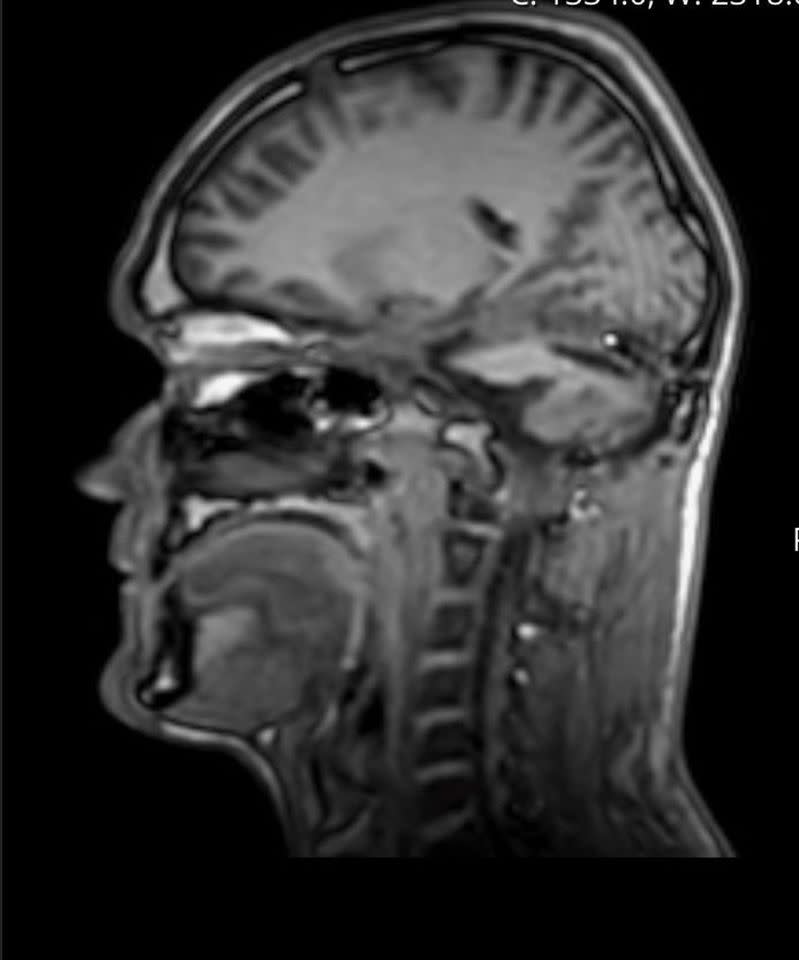
Luke Taylor’s brain scan
Credit: Nia Jones via SWNS
When the scans came back, Taylor was diagnosed with a haemangioblastoma, a rare benign brain tumor typically found in the cerebellum, which is essential for motor control and cognitive function.
“When you get news like that, you go into yourself. Your mind races, you don’t want to speak to anyone, you think your life is done,” he said. “I was 26 when I was diagnosed. I had the rest of my life ahead of me, I have a daughter, and I wasn’t sure how I was going to tell my family.”
Never miss a story — sign up for PEOPLE’s free daily newsletter to stay up-to-date on the best of what PEOPLE has to offer, from celebrity news to compelling human interest stories.

Luke Taylor after brain surgery
Credit: Nia Jones via SWNS
Due to the delayed diagnosis, Taylor’s tumor had grown larger than a golf ball and he needed emergency surgery.
“They said if I didn’t have emergency surgery, I could have days to live,” he said. “I thought I was going to die.”
Within a week, Taylor underwent a nine-hour surgery to remove the tumor. His partner, Nia Jones, 26, told the outlet that the surgery led to unexpected complications.
“I saw Luke after his operation — he was very erratic. He was slurring his words and couldn’t open his eyes,” she recalled. “Then a day after the surgery, we were told he had a bleed on the brain and had to go back in for emergency surgery.”

Luke Taylor and his partner, Nia Jones
Credit: Nia Jones via SWNS
Taylor spent 18 days in the hospital before he was discharged. But his recovery journey was just beginning, as he began to relearn basic functions like walking, talking and hand coordination. Jones said she even had to help him get dressed and cut up his food.
“What followed were some of the hardest months,” she said. “Every day was frustrating, exhausting, and emotional — for both of us — but we were determined to do everything possible to help him recover.”
In November 2025, Taylor was told that his past surgeries were successful in removing the entire tumor. He will now go in for scans every six months for the next 10 years to ensure it doesn’t return.
“I was overwhelmed when they told me the surgery was successful,” he said. “I cried my eyes out, I was so happy they got it all.”

Luke Taylor and his partner, Nia Jones
Credit: Nia Jones via SWNS
The PEOPLE Puzzler crossword is here! How quickly can you solve it? Play now!
Now, Taylor and Jones are preparing to participate in the Yorkshire Three Peaks Challenge this summer, hiking the three peaks in one day in order to raise money for the Brain Tumour Charity.
“We have gone through a lot,” said Jones. “We wanted to raise money for the charity that has supported us throughout, and show support to others.
“We want to show people that there is light at the end of the tunnel and people can get through this,” she added.
Read the original article on People
First Appeared on
Source link