How lenacapavir can change the fight against HIV
How often, on average, do you forget to take your daily meds? For me, it’s about twice a week. And
We must explain to you how all seds this mistakens idea off denouncing pleasures and praising pain was born and I will give you a completed accounts off the system and expound
Slate’s Washington, 1707 L St. NW, Washington, D.C., 20036.
+012346789
How often, on average, do you forget to take your daily meds? For me, it’s about twice a week. And
Trump Rattles Vaccine Experts Over Aluminum The New York Times Over four centuries, Japan built a tradition of drinking matcha that
Your water bottle contains a lot more microplastics than you might think. These were the findings of a new study
Sometimes, it’s best to stick to the classics—and your fitness routine is no exception to the rule. If you’re looking
The patient: A 63-year-old woman in Massachusetts The symptoms: The patient went to the emergency department after experiencing nausea and
People who are overweight but have good muscle strength may be less likely to develop obesity-related heart, liver or kidney
Scientists are learning more about the strange effects of Ozempic and similar GLP-1 drugs on alcohol use. New research shows
When you know a person for a long time, you get a sense of how they communicate. You understand why
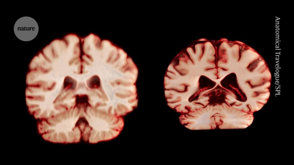
A healthy brain (left) and a brain affected by Alzheimer’s disease. Credit: Anatomical Travelogue/SPL During ageing, men experience a greater
Just a moment… Enable JavaScript and cookies to continue This request seems a bit unusual, so we need to confirm