A woman suffering from crippling depression and anxiety was found to have the world’s deadliest disease ravaging her entire body.
The 43-year-old from Massachusetts was admitted to the psychiatric ward at Harvard-affiliated Massachusetts General Hospital with severe depression and plans to commit suicide by overdosing on medication.
She had several severe stressors in her life, including bipolar disorder, domestic violence, financial troubles and limited access to stable housing.
However, she also had spent the past two months suffering from a dry, hacking cough. Throughout her hospital stay, her breathing and oxygen levels increasingly worsened.
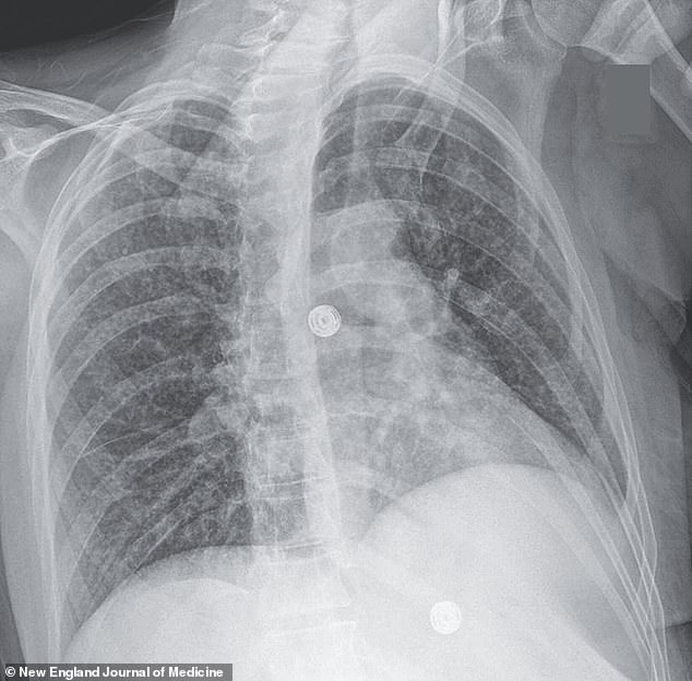
X-ray scans showed several small nodules spread across the woman’s lungs, a sign of bacteria. In additional scans, doctors found the lesions in the liver, lymph nodes, pancreas and brain.
After nine weeks, biopsies and bacterial samples came back positive for mycobacterium tuberculosis, the bacteria that causes tuberculosis, a respiratory condition dubbed the deadliest disease on the planet due to resistance to certain antibiotics and increased spread in developing countries that lack modern antibiotics.
Though rare in the US today, affecting just a few thousand Americans every year, tuberculosis most often strikes people with weakened immune systems, those living in prisons or homeless shelters and people born in countries with higher rates of the disease.
The anonymous woman had been diagnosed with human immunodeficiency virus (HIV) 17 years earlier and had limited access to her medications for two years leading up to her emergency room visit, which could have made her vulnerable to TB, doctors treating her wrote in a medical journal.
An unidentified woman visited Massachusetts General Hospital with depression, suicidal thoughts and persistent dry cough. She was diagnosed with tuberculosis that had spread to multiple organs, including her brain (stock image)

The above x-ray scan shows nodules in the woman’s lungs from tuberculosis
Your browser does not support iframes.
She also regularly smoked crack cocaine, as well as a pack of cigarettes every day and drank alcohol frequently, all of which may have damaged her lungs and kept her immune system from fighting off the bacteria.
The woman was found to have disseminated tuberculosis, a severe form of the disease that strikes multiple organs, including her brain.
The bacteria may have triggered inflammation and reduced production of the amino acid tryptophan, which is crucial for producing mood-boosting serotonin.
Though she had significant stressors in her life, doctors suggested the TB may have exacerbated her mental health issues.
Today, TB infects a few thousand Americans every year and kills about 500, far fewer than cancer, heart disease and dementia. The threat is much more prevalent in developing countries, however, and TB kills 1.2million people worldwide each year.
TB in the US was on a steady decline from 1993 until 2020, when the overall number of cases hit an all-time low of 7,170. But in 2021, that number jumped to 7,866.
Prevalence has gone up every year since.
The latest CDC data shows the US provisionally recorded 10,347 TB cases in 2024 – up eight percent from the year before and the highest tally since 2011, when there were 10,471 cases.

The above scans show nodules in several of the woman’s organs. Image A is a scan of her lungs, with arrows pointing toward the nodules. Image B shows an arrow pointing toward an enlarged lymph node. Image C shows arrows drawing attention to nodules in the liver and head of the pancreas, and Image D shows a nodule in the woman’s brain
Your browser does not support iframes.
Cases are now on the rise in 80 percent of US states, which experts have blamed missed cases and distrust of doctors forged by the Covid pandemic.
The demographics of TB have also shifted, starting in 2001. That was the first year the CDC reported more non-US born citizen patients than US-born, meaning immigrants and travelers were the driving force behind infections.
TB spreads through airborne droplets that are released into the air when a person with active TB coughs, sneezes or speaks.
In the early stages, symptoms include a persistent and unexplained cough, sometimes coughing up blood or chest pain. Patients may also suffer from unexplained weight loss, loss of appetite, fever and night sweats.
In later stages, patients may have severe breathing difficulties and extensive lung damage, and the infection may spread to other organs or the back, causing pain.
Deaths are most often due to respiratory failure caused by bacterial damage to the lungs.
Your browser does not support iframes.
But in cases like the woman’s, TB in the brain can damage vital tissues and increase pressure in the skull, causing nerve cells to die off. Eventually, this can lead paralysis and strokes.
Tuberculosis can be prevented with the Bacillus Calmette-Guerin (BCG) vaccine. Though, due to the generally low risk, it is not routinely offered in the US, except for to children regularly exposed to people with active TB or healthcare workers in areas with increased spread.
The woman in the case report spent 33 days in the hospital receiving antibiotics and steroids for the TB and antiretrovirals, which reduce the viral load from HIV. She was discharged to a medical facility for homeless people.
Three months later, she was hospitalized again for depression and suicidal ideation due to housing concerns and has since completed antituberculosis treatments again.
She is recovering from drug addiction as well.
First Appeared on
Source link