I was diagnosed with aggressive cancer and told I had a year to live… three years later I am cancer free thanks to my diet and supplement regimen
A busy mom from Chicago, eagerly envisioning a beautiful life with her family, felt the ground fall out beneath her when she was given a devastating prognosis: aggressive brain cancer that gave her, at best, three years to live.
Kimberly Pelling, 42, was just four months postpartum when she was diagnosed with an inoperable brain tumor in August 2022: a grade-four IDH-mutant anaplastic astrocytoma.
It is an aggressive and typically incurable cancer that starts in the brain’s support cells, most often in the frontal lobe, where it can cause changes in concentration, memory, or decision-making, as well as significant shifts in mood or personality.
‘Nothing prepares you for that moment,’ she said. ‘It was devastating.’
Soon after her diagnosis, she underwent the standard treatments for aggressive cancers, including chemotherapy and radiation, which left her battling fatigue, brain fog and hair loss — common side effects for astrocytoma patients. The grueling regimen made her bedbound and constantly sick.
The conventional protocol was not working; eight months in, the cancer had aggressively progressed with a new, inoperable tumor, and her prognosis was reduced to a single year.
In August 2023, Pelling stopped treatment and, rejecting the timeline she was given, took her fight into her own hands.
She dedicated herself to researching survivor stories, holistic protocols and radical lifestyle changes and credits this with saving her life, but she still urges anyone considering a similar path to consult their medical team first.
Kimberly Pelling’s early warning signs were sudden seizures, crushing fatigue and brain fog that wouldn’t lift
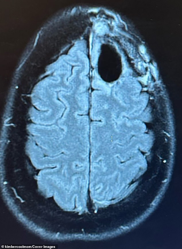
The aggressive, typically incurable tumor [the black patch] was identified in 2022. The cancer attacks the brain’s support cells, often in the frontal lobe, stealing concentration, memory and altering personality
Your browser does not support iframes.
Pelling’s ordeal began when she started suffering night terrors in which she would panic and thrash around in fear. When she consulted her family doctor, he told her they were likely a manifestation of seizures occurring in her frontal lobe and sent her straight to the hospital.
In August 2022, when Pelling went to the emergency department, doctors jumped into action, conducting an MRI that revealed the lime-sized tumor in her frontal lobe.
A biopsy confirmed her diagnosis of grade-four IDH-mutant anaplastic astrocytoma, the more serious form of the aggressive brain cancer.
Median overall survival has recently been estimated at approximately 31 months, though outcomes are significantly influenced by factors such as the success of tumor resection.
A mom, teacher and avid runner, Pelling believed she had done everything right. But the ruthless tumor didn’t care.
Pelling said: ‘They were talking about timelines, and all I could think was, “I have babies at home. I can’t leave them.”
‘But at the same time, I felt this quiet voice telling me not to give up. I believed God still had a plan for me, even when everything looked impossible.’
Her only hope was a brutal treatment regimen, including immediate brain surgery to remove the mass, followed by five weeks of radiation and months of chemotherapy, all to buy more time with her young sons, Raymond and Barrett.
For a brief moment, it seemed the aggressive treatment had worked; a clear scan offered a glimmer of hope. That hope was shattered eight months later when a new, fast-growing tumor appeared, and this time, it was inoperable.
Following her diagnosis, Pelling underwent standard chemotherapy and radiation. But the grueling regimen left her bedbound, battling fatigue, with brain fog and hair loss
In 2025, doctors took a scan of Pelling’s brain. After being told she had months to live, Kimberly heard that she had no evidence of cancer
Faced with an impossible choice in August 2023 — endure more treatment that might steal what little time she had left or cherish the moments that mattered most with her family — Pelling drew a line in the sand. Despite doctors’ urging for further conventional therapy, she turned it down.
‘I didn’t want my children’s memories of me to be lying sick in bed all the time,’ she said. ‘If I was going to fight, I wanted to fight in a way that let me still be their mom.’
She traded prescription pills for vitamins, herbs and clean eating, documenting every step for her online followers.
Pelling embraced a strict carnivore diet built on grass-fed ground beef, scrambled eggs, butter and salt; simple, clean foods she hoped would starve the cancer by eliminating sugar.
She drank only water and, each night, a cup of soursop tea, a plant she later described as ‘very powerful’ and now uses only as a preventative.
The supplements she took could fill an entire medicine cabinet. Each morning included a carefully measured routine, including a raw clove of garlic, chopped, rested for 15 minutes then swallowed like pills, 1000mg of black seed oil, 1500mg of curcumin and 1500mg of ginger root.
She added alpha lipoic acid, acetyl L-carnitine, a B complex, and a potent probiotic. More unusually, she took three bitter apricot seeds daily and 300mg of melatonin at night, a dose roughly 60 times higher than what is typically used for sleep.
It was a random moment with her son involving one of Pelling’s alternative treatments that went viral.
Pelling, pictured with her family, was diagnosed with grade-four IDH-mutant anaplastic astrocytoma – an aggressive, incurable brain tumor
Pelling (pictured with her partner) felt that she had lost a part of herself when her hair fell out due to chemo. Now, after a hair transplant, she says her hairline ‘looked natural. Like mine again’
‘Why is your drink blue?’ the little boy asked, eyeing her glass.
Pelling explained she was taking methylene blue, a synthetic compound that was used for centuries as a textile dye and later to stain bacteria and tissues for medical diagnosis.
It still has medical applications today, including the treatment of methemoglobinemia, a rare blood disorder and the identification of lymph nodes during cancer procedures.
Today, it is FDA-approved to treat a blood disorder where hemoglobin cannot effectively release oxygen for the tissue to survive.
There is some compelling evidence supporting its neurological benefits, though the science remains preliminary. Peer-reviewed research shows methylene blue induces cell death in human astrocytoma cells – the same type of tumor Pelling had.
At low doses, methylene blue helps brain cells produce more energy. It works inside the cells to improve how they use oxygen, which can boost mental clarity and reduce fatigue.
Pelling’s approach is a testament to her perseverance but it is not a substitute for professional medical advice. She documented her journey transparently to inspire others, not to prescribe a cure.
While nutrition and supplements can support overall health and complement medical treatment, they work best alongside, not instead of, doctor-led care. Anyone considering similar changes should do so only after consulting their healthcare team.
‘I tell people this is my journey, not a prescription,’ she said. ‘I just want to share hope with anyone who feels like they’ve run out of options.’
In 2025, Pelling returned for another routine brain scan, the old prognosis still lurking in the back of her mind. This time, the news was different. No visible cancer.
‘I walked into that appointment prepared for anything,’ she said. ‘Hearing there was no evidence of cancer felt surreal. I just kept saying, “Thank you, God.”’
The cancer might come back. She knows that. But today, Pelling is too busy living to worry about dying. She runs, she cares for her boys and she posts about her ordinary and extraordinary days.
‘Every extra day with my boys is a miracle to me,’ she said. ‘It’s about showing up for my boys and my husband, Ed. It’s about gratitude and faith. And it’s about believing that even when doctors give you a timeline, your story might not be over yet.’
First Appeared on
Source link